
▲제주대학교병원 영상의학과 김승형 교수가 간세포암환자에게 고주파열치료술을 시행하고 있다. 사진=제주대학교병원 제공
조기진단·치료발전에 중심적 역할고주파열치료술은 초기간암 없애진행된 간암엔 간동맥화학색전술
영상의학과에서 시행하는 인터벤션 치료는 환자의 피부에 작은 구멍을 내고 2~3㎜ 직경의 가느다란 카테터를 삽입해 치료하는 최소 침습적인 최신의학이다. 예전에 인터벤션 치료가 일반화되지 않았을 때는 간농양도 복부를 절개하고 제거하는 수술적 치료가 필요했다. 그러나 이제는 복부절개 없이 간이 위치하고 있는 우상복부에 작은 상처 하나만 내고 초음파와 X-ray 투시촬영을 보면서 직경 3㎜ 정도의 가는 배액관을 간농양에 정확하게 삽입해 고름을 빼내 제거하는 인터벤션 치료가 일반화됐다. 고름이 제거되고 남은 세균들은 항생제치료로 죽이기 쉽기 때문에 환자의 회복이 훨씬 빨라진다.
따라서 인터벤션 치료는 약물치료만으로는 부족하고 수술로 치료하기엔 과도하거나 위험한 경우에 선택할 수 있는 최소 침습적인 치료법이다. 요즘에는 많은 종합병원들이 인터벤션 치료를 암환자들에게 널리 시행하고 있다. 제주대학교병원 영상의학과 김승형 교수의 도움으로 자세히 알아본다.
현대의학의 중요한 화두 중에 하나가 암 정복이다. 하지만 암세포가 하나만 살아 있어도 다시 증식하고 혈액이나 림프액을 따라 전이해 몸 속 여기저기에 독버섯처럼 자라나는 암덩어리를 완전히 정복하기란 쉽지 않은 일이다. 인터벤션 영상의학의 주요 갈래 중에도 암치료를 담당하는 종양 인터벤션 분야가 있다. 그리고 여러 암중에서 종양 인터벤션 치료의 주요 대상이 되고 완치도 가능한 암이 간세포암이다. 간세포암은 간에 생기는 암에서 전이성암을 제외한 원발성 암중에 가장 흔하다.
때문에 흔히 간암으로 부르는데 악성도가 매우 높아 빨리 자라고, 치료 후에도 쉽게 재발하며 자주 혈관을 침범해 전이할 수 있다. 또 대부분의 간세포암이 간경변증이 있는 사람에게 발생하기 때문에 가뜩이나 간기능이 떨어져 복수와 황달로 고생하는 간경변증 환자에게 치명타를 날리는 독버섯 같은 암이라 할 수 있다. 30여년 전에 이 암에 대한 진단과 치료가 정립되지 않았을 때는 간세포 암환자의 절반 이상이 6개월을 넘기지 못한다고 했을 만큼 예후가 나쁜 질환이었다.
더구나 우리나라는 만성 B형간염과 그로 인한 간경변증 환자가 많은 나라로 그만큼 간세포 암환자도 많기 때문에 간세포암에 대한 진단과 치료에 심혈을 기울여 왔다. 그리고 이제는 간세포암의 조기진단과 치료발전에 힘입어 상황이 많이 좋아졌다. 그 중심에 영상의학과가 있다는게 전문의들의 공통된 의견이다.

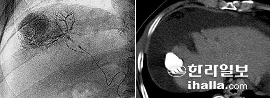
▲간세포암 환자에게 간동맥화학색전술 치료를 하는 동안 촬영한 혈관촬영기 X-ray 영상(왼쪽)에서 미세카테터를 통해 간세포암에 주입되고 있는 항암제와 리피오돌 혼합액이 잘 보이고 있다. 치료 6개월 후의 CT 영상(오른쪽)에서 간세포암에 새하얗게 잘 침착된 리피오돌이 계속 남아 있는 모습이 보여 간세포암은 재발 없이 완전히 치료됐다. 사진=제주대학교병원 제공
간세포암의 조기진단을 위해 만성간염이나 간경변증 환자들은 6개월에서 1년에 한 번씩 주기적으로 간초음파 검사를 받아야 한다. 초음파 검사에서 1㎝ 이상의 결절이 발견된다면 조영증강 CT나 MRI 검사로 추가적인 검사를 시행해 간세포암의 가능성이 있는지 자세한 영상의학적 분석을 시도한다. 영상진단을 통해 조기에 간세포암을 진단할 수있으며, 영상진단만으로 확진하기 어려운 경우에는 초음파유도를 이용해 정확한 조직검사로 간세포암 여부를 가릴 수 있다.
이런 조기 진단 시스템을 통해 2㎝ 이하의 소간세포암을 발견하게 된 것이 무엇보다도 간세포암 환자의 생존율을 증가시키는데 가장 큰 역할을 했다. 소간세포암은 수술이나 고주파열치료술을 이용해 90% 이상의 높은 비율로 완치가 가능하기 때문이다.
이중 고주파열치료술은 인터벤션 영상의학의 최신 치료법으로 초음파유도를 이용해 전자침을 간세포암에 정확히 찔러 넣은 후에 전자침 주위에 열을 발생시켜 간세포암을 태워 없애는 치료법이다.
대개 크기가 3㎝ 이하, 3개 이하의 간세포암 치료에 사용하는데, 단일 종양일 경우에는 4~5㎝ 크기까지도 치료가 가능하다. 간세포암이 5㎝ 보다 크거나 개수가 4개 이상일 경우에는 수술이나 고주파열치료술로 완치시키기 어렵다. 그만큼 암치료는 조기에 시작하는것이 중요하며, 이를 위해 암발생 위험인자를 가진 환자들이 조기 진단시스템이 잘 갖춰진 병원에서 정기적으로 꾸준히 검사 받는 것이 필요하다.
이미 진행된 간세포암의 치료에는 간동맥화학색전술이 가장 널리 이용된다. 인터벤션 영상의학에서 시행하는 혈관촬영술을 이용해 간세포암에 산소와 영양을 공급하는 영양동맥을 찾아 항암제를 투여한 후 영양동맥을 막아 혈류를 차단함으로써 암을 괴사시키는 치료법이다. 이렇게 간의 혈류를 차단해도 정상 간조직은 손상이 적고 암조직만 괴사하는 이유는 간이 간동맥과 문맥이라는 두 개의 혈관에 의해 혈액공급을 받기 때문이다.
정상 간조직은 주로 문맥에서, 간세포암은 주로 간동맥에서 혈액공급을 받기 때문에 영양동맥인 간동맥분지를 카테터로 선택해 항암제를 주입하고 혈관을 막게 되면 정상 간조직을 크게 손상시키지 않으면서 암덩어리만을 선택적으로 괴사시킬수 있다.
간동맥화학색전술은 이미 진행된 간세포암 환자의 생존율을 증가시킬 수 있는 치료법으로 입증됐으며, 현재 동맥을 막기 위해 사용하는 색전물질을 새로 개발하고 치료법을 향상시켜 보다 더 부작용이 적은 치료법으로 발전시켜 나가고 있다.
김승형 교수는 "간세포암의 조기 진단은 영상의학의 중요한 분야이며, 간세포암의 치료는 종양 인터벤션의 가장 중요한 분야이다. 의학이 발전할수록 암치료는 환자에게 해가 적으면서 암덩어리만 제거할 수 있는 치료법을 찾아 왔다"며 "그러기 위해 암의 정확한 위치와 크기 그리고 주위 장기침범의 정도를 정확히 알아야 하는데, 그 진단의 중심에 영상의학이 있다. 그리고 의사들이 발달된 영상의학기기와 카테터를 제 몸처럼 자유자재로 다루면서 최소 침습적으로 환자 몸 속의 암덩어리에 다가가 괴사시키는 치료는 인터벤션 영상의학이 담당한다"고 설명했다.