
목부위 림프절 비대증은 감기와 같은 바이러스 질환이나 급성 편도선염과 같은 세균성 감염 질환과 동반돼 나타나는 경우가 흔하다. 제주대학교병원 이비인후과 임길채 교수가 환자를 진료하고 있다. 사진=제주대학교병원 제공
바이러스 질환·세균성 감염질환 등 동반림프절 커지면 약물치료→세침흡입검사악성질환 의한 가능성 있어 종물 점검을
샤워할 때나 목 부위를 마사지 할 때 우연히 작은 혹이 만져지는 경우가 있다. 눈으로 보기에도 목 부위가 붓고 아프며, 열이 나는 사람들도 있고, 아무런 증상이 없는 덩어리처럼 느껴지는 이들도 있다. 또 하나의 혹만 만져질 수도 있고 여러 개가 동시에 한쪽 목, 혹은 양쪽 목에서 나타나기도 한다. 혹이 만져지기 전에 감기를 앓았던 사람에서부터 아무런 선행 질환이 없었던 사람들 모두 목 부위에 혹이 만져질 수 있다. 혹시나 암이 생긴 건 아닌지, 나쁜 질환은 아닌지 걱정스러움을 안고 병원을 찾는 사람들이 적잖은 것으로 알려지고 있다. 제주대학교병원 이비인후과 임길채 교수의 도움으로 목 부위 림프절 비대증에 대해 알아본다.

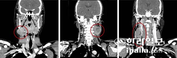
목부위 림프절.
정상적으로 양측 목에는 쉽게 말해 노폐물이 흘러내리는 구조가 있고, 이를 림프조직이라고 일컫는다. 림프조직의 중간에는 림프절이라고 하는 정상 구조들이 있는데, 여러 가지 원인에 의해 림프절의 크기가 증가할 경우 목 부위에서 혹처럼 만져질 수 있다. 40세 이전의 비교적 젊은 연령층의 사람들에서는 많은 경우에 있어 감염에 의해 림프절의 크기가 증가하게 된다. 감기와 같은 바이러스 질환이나 급성 편도선염과 같은 세균성 감염 질환과 동반돼 나타나는 경우가 흔하다. 이러한 경우에는 급성으로 발생해 발열 및 통증을 동반하게 된다. 세균성 감염에 의한 경우에서 드물게는 결핵균이 림프절에 전파돼 종괴로 나타날 수도 있다. 혹은 '기꾸찌병(Kikuchi disease)'이나 '기무라병(Kimura disease)'에서 처럼 감염 외에 원인이 불확실한 염증 반응에 의해서도 이와 비슷한 증상의 종괴를 보이기도 한다.
40세 이상의 성인에서는 염증에 의한 것보다 악성 종양(암)의 발생으로 인해 림프절의 크기가 증가되는 경우가 더 흔하다. 많은 경우에 있어 입안이나, 혀, 음식이 내려가는 인두 부위, 혹은 갑상선이나 침샘에 원인이 되는 악성 종양이 확인이 된다. 악성 종양의 전파에 의해 림프절이 커질 경우에는 통증이 없고, 하나만 만져지는 경우가 많으며 시간이 지나면서 서서히 크기가 증가하게 된다. 림프종(lymphoma)에서 처럼 타부위 암의 전파가 아닌 림프조직 자체에 악성 종양이 발생하는 경우도 있다.
급성 감염에 의해 림프절의 크기가 증가됐을 가능성이 있다면 일단 약물치료를 시행한다. 소염진통제나 항생제 치료를 통해 급성 감염을 치료함으로써 원인 질환과 함께 림프절 종괴를 없애보는 것이다. 만약 단순한 약물 치료에 의해 크기가 감소될 경우에는 대부분 악성 질환의 원인을 배제할 수 있게 된다. 목 부위 림프절의 혹이 악성 종양의 전파에 의한 것임이 의심될 때는 우선적으로 세침흡입검사를 통한 세포학적 진단을 시행하게 된다. 세침흡입검사는 외래 진료에서 바로 시도할 수도 있고, 혹의 위치가 깊숙할 경우에는 초음파를 보면서 시행하기도 한다. 초음파 검사를 함께 할 경우에는 깊숙이 위치한 혹을 더욱 정확하게 검사할 수 있음과 동시에, 혹의 모양이나 주변 구조들과의 상관관계 등 임상적으로 필요한 영상 정보를 얻을 수 있어 유용하다. 악성 종양에 의한 것임이 확인되면 컴퓨터단층촬영(CT)을 통해 보다 상세한 영상 정보를 획득할 수 있다. 결핵에 의한 감염이 의심될 때는 세침흡입검사를 통해 얻은 림프절 세포에서 결핵균의 유전자를 확인하는 검사(Tbc-PCR)를 추가로 시행하기도 한다.
감기나 세균감염과 같은 단순한 염증성 질환에 의한 림프절의 종괴는 항생제와 소염제를 복용하면서 경과를 관찰하면 된다. 드물게 결핵균이 확인되면 6개월 내지 12개월 동안 결핵약을 복용해야 한다. 악성 종양에 의한 림프절 종괴는 원인이 되는 암의 종류에 따라서 방사선 혹은 항암방사선 치료나 수술적 제거를 시도한다. 머리나 목 부위 특히 인두 부위의 악성 종양을 수술적으로 제거하게 되면 말하는 것이나 음식을 삼키는 등의 정상적인 기능에 장애가 발생하게 된다. 그런데 최근에는 방사선 치료와 동시에 항암약물을 투여하는 항암방사선 치료가 수술적 제거와 비교해서 비슷한 치료 성과를 보이고 있어 우선적으로 시행되는 경우가 많다. 갑상선이나 침샘의 암이 림프절에 전이된 경우에는 우선적으로 수술적 치료를 시행하고, 필요에 따라 방사선 치료를 추가하기도 한다.
목에 혹이 만져질 경우 대부분 악성 종양이 아니고 단순한 염증에 의한 것일 가능성이 통계적으로는 높지만 시간이 지나면서도 작아지지 않고 오히려 커지거나, 딱딱하게 느껴지면서 주위 구조에 고정돼 움직여지지 않을 때, 그리고 통증이 느껴지지 않을 경우에는 악성 질환에 의한 림프절 비대의 가능성도 있다. 따라서 반드시 병원 진료를 통해 목의 종물(腫物)에 대해 점검을 받는 것이 좋다고 임길채 교수는 조언했다. <제주대학교병원·한라일보 공동기획>