
근골격계 초음파 검사는 진단뿐만 아니라 치료 및 시술도 할 수 있는 장점이 있다. 제주대학교병원 영상의학과 이경렬 교수가 초음파 검사를 하고 있다. 제주대학교병원 제공
복부·갑상선·유방 초음파로 알려져외상에 의한 근육파열도 진단 가능비용·시간 등 절약… 치료·시술까지

이경렬 교수
영상의학과 및 영상 검사에 대한 정보가 많이 알려지면서 환자들의 영상검사에 대한 이해도도 높아지고 있다. 특히 인터넷의 발달 및 의학 채널의 증가 등은 환자들에게 많은 정보를 제공하고 있다. 또 의학의 발전 중에서 영상의학과 같은 진단과 관련된 의학기술은 나날이 발전하고 있어 검사의 종류와 검사 방법들은 더욱 늘어가고 있는 추세이다. 제주대학교병원 영상의학과 이경렬 교수의 도움으로 근골격계 초음파 검사에 대해 자세히 알아본다.
요통이나 어깨결림이 주요 증상인 근골격계 질환은 단순 반복 작업으로 허리, 목, 어깨, 팔다리에 통증이 생기는 것을 일컫는다. 오랜 시간 반복적인 작업을 지속하면 근육, 혈관, 관절, 신경 등에 미세한 손상이 생기고 이것이 누적되면 손가락, 손목, 어깨, 목, 허리 등에 만성적인 통증이나 감각 이상으로 발전할 수 있는 대표적인 직업성 질환이다. 특히 컴퓨터 작업으로 인한 영상표시단말기(VDT) 증후군도 이 질환에 속한다.
근골격계 질환과 관련된 영상 검사는 매우 다양한데, 근골격계 질환에서 시행하는 초음파 검사에 대해서는 알려지지 않은 부분이 많다. 흔히 초음파 검사를 한다고 하면 복부 초음파를 생각하게 된다. 게다가 건강검진의 중요성이 부각되고 건강검진이 많이 시행되면서 갑상선 및 유방 초음파에 대한 환자들의 이해도도 부쩍 높아졌다.
그러나 근골격계 질환에서 시행하는 검사의 경우 환자들은 보통 X-ray, CT, MRI만을 떠올리게 된다. 대개 CT, MRI는 어렵고 복잡한 병의 경우에 시행한다는 인식도 있다. 따라서 근골격계 질환으로 정형외과나 재활의학과 등을 방문했을 때 초음파를 시행해 진단 및 치료에 이용하고자 한다는 주치의의 의견을 들으면 환자들은 고개를 갸우뚱하게 된다.
그렇다면 근골격계 초음파 검사는 어느 분야에서 이용되는 것일까.

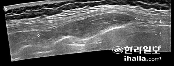
초음파 검사에서 회전근개 파열이 저에코의 결손으로 보이고 있다.
초음파 검사는 방사선 피폭의 위험이 없고, 실시간 단면 영상을 제공하면서 편하게 시행할 수 있기 때문에 영상의학에서 가장 널리 쓰이는 검사다. 보통 의료영역의 초음파는 2~15MHz의 주파수를 사용한다.
먼저 초음파 검사를 실시하면 우리 몸의 건(힘줄) 및 인대의 손상을 알아낼 수 있다. 우리 몸의 건(힘줄) 및 인대는 주로 외상에 의해 파열 등이 생길 수 있으며, 어깨 관절 주변의 건(힘줄)의 경우에는 외상과 함께 노화에 의해서도 파열이 생길 수 있다. 이 경우 초음파를 진단에 이용할 수 있다. 대부분은 어깨, 팔꿈치, 손가락 등 관절 주변의 건(힘줄) 및 인대 손상의 진단을 비교적 정확하게 내릴 수 있으며, 수술이 필요하거나 조금 더 자세한 검사가 필요할 때 MRI 등의 검사를 추천하게 된다. 물론 모든 건(힘줄) 및 인대의 파열을 진단할 수는 없어 뼈 사이에 깊숙이 위치한 무릎 인대 등은 MRI 검사가 진단에 더 많은 도움을 줄 수 있기도 하다. 이와 함께 주로 외상에 의해 발생하는 근육의 파열도 초음파 검사를 통해 진단할 수 있다.
다음으로 근육 및 피하지방과 같은 연부조직에 생기는 각종 종양을 발견하고 진단할 수 있다. 대표적으로 표피포함낭, 결절종과, 지방종과 같은 양성 종양들이 있으며 이런 양성 종양 같은 경우 초음파 검사 시행만으로 필요시 제거할 수 있다. 물론 악성 종양이 의심되거나, 제거하려는 종양 주위로 혈관, 신경등의 중요 구조물이 지나간다면 안전한 제거를 위해 CT나 MRI 등의 보다 자세한 검사가 필요할 수 있다. 하지만 근골격계 초음파 검사를 통해 쉽게 검사할 수 있는 경우 비용과 시간 등을 절약할 수 있어 큰 장점이 있다.

등부위의 초음파 검사로 발견한 지방종이다.
마지막으로 근골격계 초음파 검사는 진단 뿐만 아니라 이 검사를 이용해 치료 및 시술을 시행할 수 있다. 이 역시 실시간으로 진행할 수 있는 장점이 있고, 초음파를 시행하면서 치료나 시술이 진행되기 때문에 보다 안전한 치료와 시술을 시행할 수 있다. 예를 들어 관절 및 관절 주변으로의 스테로이드와 같은 약물 주입에서도 많이 사용되고 있고, 건(힘줄) 주변으로의 약물 치료에도 이용되고 있다. 뿐만 아니라 초음파를 보면서 척추 주변의 신경주위의 약물 치료도 가능하다. 주로 이러한 치료 및 시술은 통증과 관련된 것들이 많고, 통증 환자들이 매우 많은 요즘 근골격계 초음파의 활용도는 더 높아질 것으로 보인다. 더불어 물혹, 농양 등의 경우 그 안의 내용물들을 안전하게 흡인해 내야 할 필요가 있는데 이 때에도 중요한 해부학적 구조물을 손상 시키지 않고 초음파 검사 유도하에 흡인해 낼 수 있다.
이경렬 교수는 "근골격계 검사에 사용되는 검사는 X-선 검사, CT, MRI 등이 있으며 영상의학과 및 영상의학에 대한 정보가 많이 알려지면서 환자들의 검사에 대한 이해도도 매우 높아졌다"면서 "앞의 검사들이 각각의 필요한 경우들이 있고 한 검사가 우선시 돼야 될 상황이 있다. 또 초음파 검사의 경우 시행하는 의사의 숙련도에 따라 검사 결과 및 이용이 다를 수 있다는 점도 있다. 그러나 초음파를 포함해 근골격계 검사에 대해서 많이 이해하고 있다면 치료하는 주치의와의 소통에 더욱 도움이 될 것"이라고 조언했다. <제주대학교병원·한라일보 공동기획>