어류 날로 먹는 국가 중심으로 발생일부는 충이 장벽 뚫고 들어가 통증회 먹은 뒤 통증시 섭취사실 알려야

김영규 교수
얼마 전 인천의 한 고등학교 급식에서 고래회충이 나왔다고 해서 난리가 났었다. 그러나 고래회충은 생선을 익혀 먹으면 아무 것도 아니다. 모든 생선에는 고래회충이 있다고 해도 과언이 아니다. 익혀 먹을 때 생선의 일부인 줄 알고 지나쳐 왔을 뿐이다. 그렇다고 해서 고래 회충이 전혀 문제가 없는 것은 아니다. 날 것으로 먹을 때 살아 있는 고래회충을 삼키게 되면 위염이나 장폐색으로 심한 복통을 겪을 수 있다. 때로는 목숨까지 위태로울 수도 있다. 이 병에 대해서 아는 것이 중요하다. 제주대학교병원 외과 김영규 교수의 협조로 고래회충과 관련해 자세히 알아본다.
고래회충은 사람이 정상 숙주는 아니다. 고래회충에 감염된 물고기에서 고래회충의 알이 바다로 나오고 이것을 1차 숙주인 갑각류가 먹어 그 안에서 유충이 된다. 그 유충을 1차 숙주와 함께 2차 숙주인 물고기가 먹으면 2차 숙주 체내에서 고래회충이 된다.
이 고래회충은 생선을 익혀 먹을 때는 전혀 문제가 되지 않는다. 고래회충증이 보고되는 곳은 생선을 날 것으로 먹는 문화가 있는 국가들이다. 수십 년 전에는 일본과 스페인에서 소수로 보고됐는데, 최근에 한국과 일본에서 발생 보고가 증가하고 있다. 일본에서는 회초밥, 한국에서는 회를 즐겨 먹기 때문이다.

위내시경에서 확인된 고래회충. 사진의 중앙 상부에 고래 회충이 보이고 하부는 위벽을 뚫고 있다. 사진=제주대학교병원
고래회충이 살아있는 상태로 생선과 함께 먹으면, 이 충의 상당수는 저절로 죽지만 일부는 살아서 위벽을 뚫고 들어간다. 위벽을 뚫고 들어가면 그 주위로 심한 염증을 유발한다. 위에 염증이 생기면서 명치 부근에 격심한 통증이 생긴다. 인체에서는 고래회충이 일주일을 못살기 때문에 고래회충들은 다 죽어 통증이 오래가지 않지만 그 때까지의 통증은 참아내기 어렵다. 진통제를 쓰면서 견디면 되겠다고 생각할 수 있겠지만 그 통증이라는 것이 반나절도 견디기 어려울 정도로 극심하기 때문에 대부분의 환자들이 응급실을 방문하게 된다. 한국에서는 위내시경 비용이 높지 않고, 내시경 실력이 좋은 의사들도 많아 내시경으로 고래회충을 빨리 제거해 고래회충이 죽어 통증이 사라질 때까지 견디는 것은 상상할 수 없다.

사진은 내시경 겸자를 이용해 고래회충을 제거하고 있는 모습. 사진=제주대학교병원
고래회충 거의 대부분은 위에서 위산으로 인해 죽어 소장으로 내려가 소화가 되기 때문에 소장에 병을 일으키는 경우는 매우 드물다. 그러나 아주 일부에서 살아남아 소장으로 내려가면 소장의 벽을 뚫고 들어가 그 주위로 염증을 일으키고, 그로 인해 부종이 발생한다. 이로 인해 직경이 작은 소장은 막히게 된다.
살아서 고래회충이 소장에 들어가 소장 벽을 뚫고 들어가면 배 전체가 심하게 아프고 배가 불러지고, 토하기도 해 응급실을 방문하게 된다. 이 경우 의료진이 환자의 방문 하루 이내에 회를 먹었던 병력을 바탕으로 진단하게 되면 고래회충이 죽어 염증이 없어져 장폐색이 해소될 때까지 금식하면서 수액을 주입하면 치료가 될 수 있다. 그런데 그렇게 치료하기에는 환자의 통증이 극심하기도 하고, 때로는 다른 병이 의심돼 수술로 고래회충이 포함된 장을 잘라내기도 한다. 고래회충이 대장까지 살아 내려가기도 어렵지만 대장 벽을 뚫고 들어가기에는 대장의 직경이 크기 때문에 장내경을 막지 못하기 때문에 임상적으로 문제를 일으키지 않는다.

컴퓨터단층촬영상 고래회충증 소견. 전형적으로 위에 발생한 고래회충증이며, 환자는 통증 6시간 전에 생선회를 먹었고 위 전체의 부종 소견을 보인다. 사진=제주대학교병원
고래회충은 주로 생선의 창자에 있거나 드물게 다른 장기에 있다. 회로 먹는 생선살에 있는 경우는 적은데 생선의 상태가 안 좋아지면 창자에 있던 고래회충이 장벽을 뚫고 생선살로 이동하기 때문에 싱싱하지 않은 생선은 가급적 회로 먹지 않는 것이 이 질병을 예방하는데 상책이 되겠다. 이와 함께 내장에 있던 고래회충이 조리 중에 내장 밖으로 나와 회에 묻을 수 있고, 이렇게 회와 함께 고래회충을 먹게 되기 때문에 조리사들의 위생에 대한 인식이 이 질환을 줄이는데 매우 중요하다. 과거 10년 전에 비해 요즘은 고래회충증으로 고생하는 경우가 많이 줄어들었는데 아마도 회를 뜨는 환경이 달라졌기 때문이다. 과거에 비해 조리사도 실력이 좋아 내장을 터트리는 경우가 줄어들었고, 물로 자주 씻어내면서 회를 뜨기 때문이다. 더불어 회를 뜨기에 적합하지 않은 환경을 가지고 있는 선박에서나 일반인이 집에서 회를 뜨는 일이 줄어든 것도 하나의 이유가 될 수 있겠다.

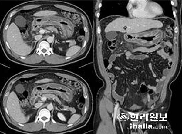
사진은 소장에 발생한 고래회중증의 영상 이미지. 환자는 통증 2일전 생선회를 먹었고, 원위부 소장의 협착과 근위부 소장이 확장돼 있어 장폐쇄 소견을 보인다. 사진=제주대학교병원
복통의 원인은 담낭염, 췌장염, 위염같이 복강내 장기의 병 때문인 경우가 대부분이다. 하지만 심근경색증이나 폐렴으로도 생길 수 있어 복통이 심하면 응급실을 찾는 것이 심근 경색의 빠른 진단과 치료를 위해 중요하고, 만약 응급실을 복통으로 방문하게 되는 경우 회를 먹었으면 꼭 회를 먹었다고 말하는 것이 고래회충증을 진단하는데 실마리가 될 수 있다. 때문에 이를 꼭 의료진에게 이야기해야 한다. 그러나 생선 조림이나 구이에서 고래회충을 보거나, 생선매운탕에 고래회충이 보인다고 하더라도 이미 죽어서 고래회충증을 일으키는 것이 불가능하기 때문에 혹시 보인다 하더라도 생선의 일부려니 하고 먹어도 탈이 날 일이 없으니 걱정을 하지 않아도 된다. <제주대학교병원·한라일보 공동기획/ 사진=제주대학교병원 소화기내과 김흥업 교수, 대한상부위장관, 헬리코박터 학술지.>
[건강 Tip] 암 진료비 9조원 돌파… 전체 건보 진료비 11.1%
갑상샘>위>폐>대장>유방>전립선>간암 순
지난해 암(악성신생물) 진료비가 9조원을 넘어섰다. 암 진료비가 우리나라 전체 건강보험 진료비에서 11.1%를 차지해 암으로 인한 사회적 비용을 줄일 방안이 시급한 것으로 나타났다.
국민건강보험공단과 건강보험심사평가원이 공동 발간한 '2018년 건강보험통계연보'에 따르면, 2005년 9월 이후 2018년까지 암 중증환자로 등록하고 지난해까지 생존 중인 사람은 217만526명이다.
이 가운데 지난해 암으로 진료를 받은 사람은 147만7252명이었다. 여자가 86만2017명으로 남자(61만5235명)보다 많았다.
암 진료비는 총 9조92억원으로 건강보험 가입자의 한 해 총진료비 77조9104억원의 11.6%에 달했다. 고령화로 인해 암 환자가 증가하는 동시에 고액 항암제에도 건강보험이 적용된 결과다. 1인당 평균 진료비는 610만원이었다.
지난해 신규 암 환자는 31만3507명이었고, 이 중 30만9541명이 실제 진료를 받았다. 암 진료비 중 42%인 3조7786억원은 이들 신규 환자가 썼다. 신규 환자 1인당 진료비는 1221만원이었다.
신규 환자의 암 유형은 갑상샘암(3만1891명)이 가장 많았고, 다음은 위암(3만117명), 폐암(2만8423명), 대장암(2만8360명), 유방암(2만6328명), 전립선암(1만9376명), 간암(1만8642명) 순이다.
암 진료비는 건강보험이 의료기관에 지불한 암 관련 진료비와 환자가 의료기관에 지불한 본인부담금을 합한 것이다. 해당 암에 대한 직접 진료비뿐만 아니라 암과의 연관성이 분명한 합병증에 대한 진료비도 포함된다.
암 확진을 받고 증증환자로 등록하면 산정특례 대상으로 분류돼 진료비의 10%만 본인이 부담한다. 다만 이 진료비에는 건강보험이 적용되지 않는 비급여 진료비가 포함되지 않기 때문에 실제로 암으로 인한 비용은 건강보험이 부담하는 의료비보다 훨씬 크다.
국민건강보험공단 산하 건강보험정책연구원이 2017년 펴낸 '건강보장정책 수립을 위한 주요 질병의 사회경제적 비용 분석' 보고서에 따르면, 2015년 기준으로 암으로 인한 한해 사회적 비용은 16조6819억원이었다. 직접적인 의료비에 조기사망에 따른 미래소득 손실액, 의료이용에 따른 생산성 손실액, 간병비, 교통비를 합친 것이다.
정부는 암으로 인한 비용을 줄이기 위해 전체 건강보험가입자와 의료급여 수급자를 대상으로 '국가암검진사업'을 하고 있다. 위암·대장암·간암·유방암·자궁경부암·폐암 등 한국인이 많이 걸리는 6대 암을 조기에 발견하기 위한 것으로 무료 또는 저비용으로 검진 기회를 제공하고 있지만 검진율은 50% 안팎으로 저조하다.
특히 저소득층은 무료인데도 검진율이 낮아 검진을 독려할 수 있는 홍보방안이 필요하다는 지적이 꾸준히 제기돼 왔다.
연합뉴스