[한라일보] 기온이 내려갈수록 발생 빈도가 높아지는 질환들이 있다. 이 중 한 가지는 고관절 골절로 통계에 따르면 겨울철에 60세 이상 인구 중 30%가 미끄러운 빙판길이나 계단에서 낙상을 경험한다. 고령일수록 균형감각과 시력이 저하되고 반사 신경이 둔화하며, 뼈가 약해지는 골다공증이 동반된 경우가 많다. 이번 주 제주인의 건강다이어리는 제주대학교병원 정형외과 노영호 교수의 도움을 받아 고관절 골절에 대해 알아본다.
60세 이상 인구 30% 겨울 낙상 경험… 고령자 골절 가능성 높아골절 부위 따라 인공치환술·금속판 이용한 내고정 수술 등 시행
▶나이 들수록 쉽게 골절 발생=겨울이 되면 낮이 짧아지고 추위로 인해 실내에서 주로 생활하게 돼 운동 부족으로 인한 하지 근육이 약해지고 햇볕을 쬐는 시간도 줄어들어 뼈 건강에 중요한 비타민D의 피부 합성도 감소한다.
젊은 사람들은 노인들에 비해서 잘 넘어지지도 않고 낙상을 당한다고 하더라도 타박상에 그치는 경우가 많다. 그러나 골다공증이 동반돼 있다면 얘기가 달라진다. 골다공증으로 인해 뼈가 약해진 노인들은 살짝 미끄러지는 약한 충격에도 골절이 발생할 수 있다. 특히 고관절부위에 골절이 발생하면 걸을 수 없는 것은 몰론 대소변과 같은 기본적인 생활을 타인의 도움 없이는 해결할 수 없게 된다. 이뿐만이 아니라 폐렴, 요로감염, 섬망, 욕창 그리고 혈전증 등과 같은 여러 합병증이 발생하여 최악의 경우에는 사망에 이를 수도 있다.
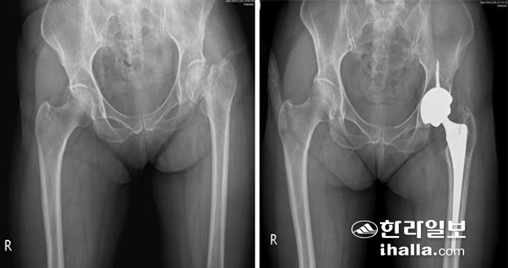
▶인공치환술로 빠른 회복 가능=고관절은 몸통과 하지를 연결하는 골반뼈와 대퇴골로 이뤄진 관절로 우리 몸 관절 중 가장 크다.

인공치환술
고관절 골절 중에서도 부러진 위치에 따라서 구분을 하는데 이는 골절 위치에 따라 수술 방법이 달라지기 때문이다. 대퇴골두 바로 밑의 대퇴골 경부 골절의 경우에는 골두로 가는 혈액순환이 끊어질 가능성이 높아 뼈를 붙이는 수술을 하더라도 잘 붙지 않을 수 있다. 설령 붙었다 하더라도 대퇴골두 무혈성 괴사가 발생하게 되면 지속적인 통증이 남는다. 이러한 이유로 인공관절 수술을 하는 경우가 많다. 단, 골절의 전위가 심하지 않거나 불완전 골절인 경우, 그리고 젊은 환자에서는 뼈를 붙이는 수술을 해볼 수 있다. 고관절 인공관절 치환술은 8~9cm 피부절개로 근육, 혈관, 신경 등의 조직 손상을 최소화하여 빠른 회복을 도모할 수 있으며 수술 후 안정적일 경우 3~4일이 지나면 걸을 수 있다. 그러나 수술 후 약 3개월 정도는 탈구의 위험이 있을 수 있어 쪼그려 앉기, 양반다리, 다리를 꼬는 행동을 삼가야 하며 이후에는 무리 없이 일상적인 생활이 가능하다.
▶전자간 골절 땐 내고정 수술 시행=대퇴골 경부보다 아래쪽의 대전자와 소전자를 연결하는 부분이 부러지게 되면 전자간 골절이라고 하며 인공관절로 보다는 골수정 또는 금속판을 이용한 내고정 수술을 시행하게 된다.

내고정 수술
이 부위는 대퇴골두 무혈성 괴사가 잘 발생하지 않으며, 비교적 뼈가 잘 붙는 부위다. 수술 후 3~4일 후부터 운동을 조금씩 시작하면서 고관절 주위의 근육을 강화시키는 재활을 시작한다. 과도한 운동은 고정시킨 골수정 또는 금속판이 파손될 위험이 있으므로 지양해야 하고 뼈가 약하거나 분쇄골절이 있는 경우는 6주간은 체중부하를 하지 않고 지팡이나 목발을 사용해야 한다.

노영호 제주대병원 정형외과 교수
▶고관절 골절 예방은=이러한 고관절 골절의 예방법은 크게 두 가지로 요약할 수 있다. 첫 번째는 낙상예방으로 생활반경 내에 낙상을 유발할 만한 환경을 개선해야 한다. 화장실에 미끄럼 방지 타일을 설치하고, 문턱을 없애고, 침대와 계단 등에 안전 난간을 설치하는 것이 도움이 된다. 또한 적절한 운동을 통해 근육량을 증가시키면 반사신경과 균형감각이 좋아져서 넘어지는 것을 막을 수 있다. 이외에도 수면 전에 화장실 갔다 오기, 이뇨작용이 있는 음식 피하기 등의 생활습관 개선도 필요하다.
두 번째는 낙상이 발생해도 골절의 가능성을 줄이기 위해서 골다공증을 치료하는 것이다. 골다공증이 있다면 뼈의 강도가 낮아져 있어서 단순 낙상에 의해서도 골절이 생길 수 있다. 따라서 우선 정기적인 검사를 통해 골다공증 여부를 확인하는 것이 중요하다. 골다공증은 대부분의 경우 특별한 증상이 없어 치료하지 않고 지내다가, 낙상에 의해 골절이 발생한 뒤에 늦게야 확인하게 되는 경우가 많다. 미리 골다공증을 조기에 확인하고 적절한 약물치료로 골다공증을 치료한다면 고관절 골절도 줄일 수 있다.
고관절 골절은 날씨가 추워지는 겨울철에 많이 발생하고 치료를 위해서는 수술이 필요하고 합병증 발생빈도도 높은 무서운 질환이다. 더 기온이 내려가기 전에 미리 골다공증 확인과 주변환경을 개선하고 근육운동을 한다면 올해 겨울을 안전하고 건강하게 보낼 수 있다.
-------------------------------------------------------------------------------------------------
[건강 Tip] 30·40대 젊은 당뇨병 환자 관리 필요해요
30·40대 중 당뇨병이 있어도 이를 알거나 치료하는 비율이 낮은 것으로 조사됐다.
질병관리청이 최근 발간한 '국민건강영양조사 기반의 당뇨병 관리지표 심층보고서'에 따르면 2019∼2021년 기준 30세 이상 성인의 당뇨병 유병률은 15.8%다. 남성은 18.3%로 여성(13.5%)보다 4.8%포인트 높았다.
성별과 연령을 기준으로 나눠보면 30·40대 남성의 당뇨병 유병률은 9.3%로,50·60대(24.4%), 70대 이상(30.9%)보다 크게 낮았다.
여성도 30·40대의 유병률은 3.8%로, 50·60대(15.7%), 70대 이상(31.8%)과 차이가 컸다.
그러나 30·40대의 경우 자신이 당뇨병 환자라는 것을 인지하거나 치료하는 비율 역시 낮아 주의가 요구된다.
30·40대 남성 환자 중 의사에게 당뇨병을 진단받은 환자의 비율을 뜻하는 인지율은 51.6%에 불과했다. 50·60대는 66.8%, 70대 이상은 75.9%였다.
여성도 30·40대의 인지율은 48.6%에 그쳤다. 50·60대는 67.8%, 70대 이상은 78.7%였다.
당뇨병 환자가 혈당강하제를 복용하거나 인슐린 주사를 사용하는 비율을 뜻하는 치료율도 30·40대 남성은 46.7%로, 50·60대(60.8%), 70대 이상(72.8%)에 견줘 낮았다.
30·40대 여성의 치료율은 40.9%로 같은 연령대 남성보다 낮았고, 50·60대(65.5%), 70대 이상(76.7%)보다도 크게 떨어졌다.
또 남성은 흡연으로 인해, 여성은 비만 때문에 당뇨병 조절에 어려움을 겪는 것으로 나타났다.
남성의 경우 흡연자가 비흡연자보다 당뇨병을 조절하지 못할 가능성이 1.32배 높았고, 여성의 경우 비만 여성이 정상 체중에 비해 그러지 못할 가능성이 1.41배 컸다.
이번 연구를 수행한 이용제 강남세브란스병원 교수는 "30·40대의 인지율과 치료율이 다른 연령대에 비해 매우 낮고 조절률도 차이가 없다는 점에서 젊은 연령대 환자에 대한 집중 교육과 관리가 필요하다"고 당부했다. <연합뉴스>