
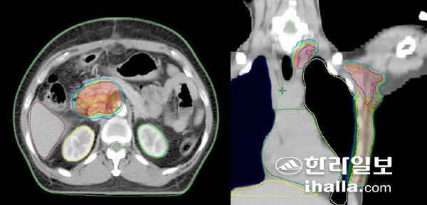
특수 치료를 통해 암 부위에만 집중적으로 처방된 방사선량을 전달한다. (왼쪽 담낭암, 오른쪽 유방암)
인체 세포에 전달돼 직간접 영향암 세포 분열·증식 막아 치료 효과정상 조직은 보호… 부작용 최소화
우리는 건강, 혹은 질병의 진단을 위해 한번쯤 X-ray, CT 영상을 촬영해 본 경험이 있을 것이다. 하지만 암 치료를 목적으로 하는 방사선 치료는 조금 생소하게 들릴 수 있다. 방사선 치료는 방사선을 암이 있는 부위에 국소적으로 조사해 암 치료를 하는 동시에 암 주변의 정상조직은 최대한 보호하는 것을 목적으로 한다. 이러한 목적을 달성하기 위해 방사선 종양학 분야에선 많은 최신 방사선 치료 기술들이 활용되고 있다. 제주대학교병원 방사선종양학과 박소현 의학물리 교수의 도움으로 방사선 치료기술 중 가장 활발히 적용되고 있는 특수치료의 과정에 대해 알아본다.

박소현 교수
방사선이 인체의 세포에 전달되게 되면 세포의 DNA 혹은 세포막에 직간접적으로 영향을 주게 된다. 이때 세포의 분열, 증식이 파괴돼 암 세포는 죽게 된다. 방사선을 인체에 조사하게 되면 몸 속의 암 조직과 정상 조직 모두에 손상을 일으킨다. 하지만 방사선 영향을 받은 정상 조직은 시간이 흐름에 따라 다시 정상적으로 회복되지만 암 조직은 회복이 불가능하다. 방사선 치료는 선형가속기(LINAC)라고 불리는 방사선 치료기를 이용해 전자를 가속시키고 이때 발생시킨 고에너지 방사선을 암 치료에 적용하고 있다. KV 단위의 진단용 방사선(X-ray, CT)에 비해 에너지가 높은 4-20 MV 범위의 방사선을 사용하기 때문에 환자에게 정확하고 안전한 방사선 전달이 필수적이다.
특수치료는 방사선을 전달하는 방법에 따라 세기 조절 방사선치료(IMRT; Intensity-modulated Radiation Therapy)와 입체 세기 조절 회전 치료 (VMAT; Volumetric Modulated Arc Therapy)로 나눠 볼 수 있다. 특수치료는 선형가속기 내부에 부착된 다엽콜리메이터(MLC: Multileaf Collimator)라는 텅스텐 재질로 구성된 구조의 발달로 빠른 속도로 방사선치료에 사용되기 시작했다. 방사선은 투과력이 큰 특성이 있지만 방사선이 진행되는 방향에 방사선 세기를 감쇄시킬 수 있는 특정 물질을 위치시키면 방사선 세기를 조절할 수 있다. 다엽콜리메이터는 방사선 치료기 내부에 부착해 방사선이 전달되는 동안 연속적으로 움직임으로써 방사선 세기를 필요에 따라 조절하는 역할을 하기 때문에 환자에게는 효율적으로 암 조직에 집중적으로 처방된 방사선량을 전달할 수 있다.

방사선기기의 연속적인 회전 동안 MLC가 연속적으로 움직인다. (입체 세기 조절 회전치료; VMAT)
특수치료에 들어가기 전, 환자는 가장 먼저 CT 모의 영상을 촬영하게 된다. CT 촬영 시에는 치료부위에 따라 환자 별 전용 고정 기구를 이용해 암 조직에는 정확한 방사선을 전달하되 정상조직은 최대한 방사선을 피할 수 있는 적절한 자세를 취하게 된다. 그리고 환자의 몸에 방사선 치료 범위의 중심을 표시해 방사선이 들어가는 위치를 정확하게 확인 할 수 있도록 한다.
다음 단계에서는 방사선 치료계획을 시행하게 되는데 이 과정은 동일한 종류·부위의 암이라고 할지라도 환자에 따라 체형 및 내부 장기 구조가 다르기 때문에 앞서 찍은 CT 영상을 이용해 치료 방법을 계획하는 과정이다. 이때 방사선종양학과 전문의와 의학 물리학자 그리고 도시메트리스트가 협력해 CT 영상에서 암 조직과 정상조직을 정의하고 환자를 중심으로 방사선이 들어갈 방향과 사용할 방사선의 종류, 에너지, 방사선 세기 조절을 위한 다엽콜리메이터 움직임을 설정하는 등 환자 맞춤형 치료계획을 세우게 되는 것이다.
치료계획이 완료된 환자는 치료에 들어가게 되는데 치료 전, 선형가속기에 부착돼 있는 진단 영상 기기를 이용해 x-ray 또는 CT영상을 찍게 되고 치료계획용으로 찍어놓은 CT 영상과 비교해 환자의 자세와 치료 영역이 정확하게 일치하는지를 확인한다.
이러한 확인 과정을 거친 후, 환자 개개인에 맞는 특수치료 방법을 통해 방사선이 전달되게 된다. 세기 조절 방사선치료는 9개에서 11개 정도의 특정 방향에서 방사선이 전달된다. 특정 방향마다 방사선이 전달되는 동안 각 방향에서의 암과 정상 조직의 위치와 모양을 고려해 다엽콜리메이터가 지속적으로 움직이며 변형된 세기의 방사선을 조사하게 된다.
입체 세기 조절 회전 치료는 방사선 치료기가 환자의 특정 방향 내 혹은 360도로 지속적으로 회전하는 동시에 다엽콜리메이터 역시 지속적으로 움직이며, 방사선의 세기를 조절한다. 2바퀴를 회전 시키는 치료법을 적용했을 경우 약 3분 이내 치료가 가능하다는 특징을 가지고 있다.
또한 특수치료는 매우 정교하고 복잡한 방법으로 방사선이 전달되기 때문에 환자에게 방사선을 전달하기 전에 치료계획과 실제 전달되는 방사선이 일치하는지를 점검하게 된다. 이것은 방사선 안전문제와 직결되는 것으로, 환자에서 조사되는 방사선이 치료계획 시 설계한 방사선과 동일한지를 비교, 확인한 후 환자에게 적용함으로써 방사선 전달 안전성을 더욱 높이고 있다.
현재 제주대학교병원 방사선종양학과는 약 50~60%의 특수치료를 시행하고 있다. 모든 부위에 동일한 특수치료가 적용되고 있는 것은 아니며 암에 따른 가장 최적의 방사선 치료 방법들이 선택돼 적용되고 있다. 이 모든 치료 방법들은 암 치료율을 높이는 동시에 부작용을 최소화해 치료 기간 동안 환자의 삶의 질을 높이는 데 목적을 두고 있다. 따라서 환자들이 방사선에 대한 거부감 없이 안심할 수 있고 치료를 받는 동안에도 삶의 행복을 느낄 수 있을 것으로 기대된다.
이상민기자
[건강 Tip] 궁금한 유산균(프로바이오틱스) 이야기
며칠 전 당뇨병 환자가 영양팀 사무실로 상담 전화를 걸어왔다. 자녀가 사다 준 유산균 제품에 약간 단맛이 나는데 섭취해도 되는지를 물었다. 요즘 많이 판매되고 있는 프로바이오틱스(pro-biotics) 제품에 대한 문의였다. 유산균은 포도당이나 유당과 같은 탄수화물을 이용해 유산(젖산)을 생성하는 세균을 통칭하는 말인데 젖산균이라고도 한다. 유산균은 유제품이나 동물의 각종 장기 등 자연계에 널리 분포하고 있으며, 오랜 역사 동안 요구르트를 비롯한 각종 유제품 제조 및 장류, 주류, 김치와 같은 양조제조에 이용돼 왔다.
프로바이오틱스란 '충분한 양을 섭취했을 때 건강에 좋은 역할을 하는 살아있는 균'이라고 세계보건기구(WHO)는 정의하고 있다. 사실 유산균 중에는 몸에 유익하지 않은 균도 있고, 프로바이오틱스 중에는 유산(젖산)을 생성하지 않는 균도 있기 때문에 유산균과 프로바이틱스가 동일하지는 않다. 하지만 일상에서는 거의 동의어처럼 사용되고 있어 유산균 중에서 유익균을 프로바이오틱스라고 생각하면 될 것 같다.
이런 프로바이오틱스 제품들은 어떤 기능을 하는 걸까? 우리 몸에는 100조가 넘는 장내 세균이 있는데 유익균과 유해균으로 나눌 수 있다. 유익균은 장의 연동운동을 활발하게 해주고, 유해균을 억제해 대장이 정상적으로 기능할 수 있도록 돕지만, 유해균은 인체에 해로운 여러 가지 독소와 노폐물을 생성하는 주범으로 증가하면 건강에 문제가 발생한다. 프로바이오틱스를 섭취하면 장내 유익균을 증식하고 유해균을 억제해 배변 활동을 원활하게 하는데 도움을 줄 수 있는 것으로 알려져 있다.
당뇨환자의 경우 정해진 용량 내에서 섭취한다면 문제가 되진 않는다. 식품의약품안전처(식약처)는 하루에 1억~100억 CFU 정도를 섭취하도록 권장하고 있다. 섭취하는 프로바이오틱스 용량이 기준 양보다 과다하다면 설사를 하거나 장에 가스가 많아질 수 있으니 주의가 필요하며, 기준량 이하라면 기능성을 기대하기 어려울 수도 있다. 가끔 당류 함량이 높은 유산균 제품도 있으니 혈당 조절이 잘 되지 않는 경우 담당의사와 상의하거나 영양사의 조언을 듣는 것을 추천한다. 프로바이오틱스는 대체로 안전한 균으로 여겨지지만 아주 드물게 면역이 저하된 환자의 경우 진균증과 패혈증이 생긴 사례가 있기도 하다. 면역이 떨어질 수 있는 치료를 받는 항암환자 등은 유산균 제품의 섭취 시에는 의료진과 미리 상담을 할 것을 권고한다. <제주대학교병원 영양팀>