
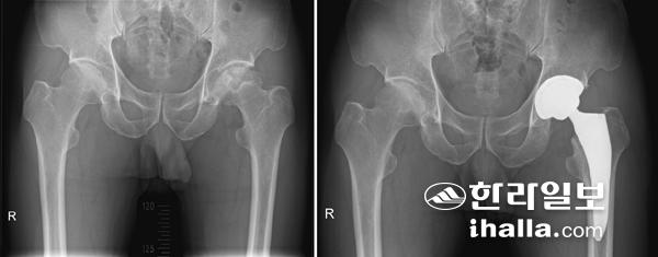
인공관절 전치환술 전 X-ray(사진 왼쪽), 인공관절 전치환술 후 X-ray
연골 손상돼 관절염까지음주가 가장 큰 원인…X-ray로 확인 어렵지만MRI로 초기 진단 가능
중년 남성 가운데 걸을 때 사타구니 주변에 통증이 발생하고, 바닥에 앉고 일어설 때 엉덩이 부근에 통증 또는 불편감이 느껴져 병원을 찾는 사람들이 있다. 이러한 증상을 유발하는 대표적인 고관절 질환이 ‘대퇴골두 무혈성 괴사’다.
대퇴골두 무혈성 괴사는 대퇴골두 근처에 혈액이 원활하게 공급되지 않아 대퇴골두가 썩는 질환으로 음주와 관련이 깊어 평소 술자리를 많이 갖는 중년 남성층에 많이 나타난다. 이들 중 만약 양반다리 자세가 불편하고 엉덩이 부근에서 원인 모를 통증이 느껴진다면 반드시 원인을 찾아 정확한 치료를 받아야 한다. 이에 제주대학교병원 정형외과 노영호 교수의 도움으로 대퇴골두 무혈성 괴사에 대해 알아본다.
대퇴골두 무혈성 괴사는 1925년 처음 보고된 이래 점차 그 발병이 증가하고 있지만, 그 원인과 발생 기전이 아직까지 모두 밝혀지지는 않았다. 현재까지 대퇴골두 무혈성 괴사를 일으키는 위험 인자로는 음주, 부신피질호르몬, 고관절 부위 외상, 잠수병, 통풍, 혈청지질 이상, 만성 신질환, 만성 췌장염 등이다.
이 중에서도 가장 주요한 원인은 음주와 부신피질호르몬이다. 전체 원인의 80~90% 정도를 차지한다.
이러한 위험인자가 전혀 없이 발생하는 경우(특발성 대퇴골두 무혈성 괴사)도 있다. 대부분 중년인 30~50대에서 발생하고, 여성보다는 남성에서 더 많이 발생하며, 약 60%에서는 양측성으로 나타난다.
이렇듯 대퇴골두 무혈관성 괴사의 원인은 다양하지만, 진행 경과 및 증상은 비슷하다. 대퇴골두뼈의 혈액 공급이 원활하지 않은 부분이 괴사되고, 괴사된 뼈가 관절을 지지하지 못하면서 함몰되며 마지막에는 연골까지 손상돼 관절염에 이르게 된다.
대퇴골두 무혈성 괴사의 초기에는 증상을 인지하기가 쉽지 않고 통증 부위도 특정하기가 힘들다. 이러한 초기에는 일반 X-ray에서도 정상 소견으로 보이거나 괴사부분이 잘 나타나지 않아 진단하기가 힘들어 놓치는 경우가 많다. 이 때문에 괴사가 상당히 진행되고 나서야 병원을 찾는 경우도 있다.
병원을 찾는 경우를 보면, 진행된 대퇴골두 무혈성 괴사에서는 통증과 더불어 다리길이가 짧아지고 관절운동 범위도 제한되게 된다. 이에 자기공명 영상 검사(MRI)를 활용하면 초기에도 진단이 가능하며, 병변의 크기나 위치를 정확히 확인할 수 있다. 대퇴골두 무혈성 괴사를 초기에 진단받으면 비교적 좋은 경과를 기대할 수 있으므로 초기 진단이 중요하다.
대퇴골두 무혈성 괴사의 치료방법은 괴사정도와 증상에 따라서 나눠볼 수 있다.
첫 번째로 대퇴골두 무혈성 괴사가 있지만 크기가 작거나 위치가 체중부하를 하지 않는 부위이면서 통증이 없어 일상생활에 큰 지장이 없는 경우에는 통증 조절을 하면서 경과를 지켜볼 수 있다.
두 번째 대퇴골두 감압술은 괴사된 부위의 압력을 감소시켜 괴사된 부위의 진행을 늦추는 방법이다. 비교적 젊은 환자를 대상으로 고관절의 인공관절 수술시기를 늦추거나 피하려는 목적에서 시도하는데, 초기에 진단받은 경우에만 시행해 볼 수 있다.
하지만 대퇴골두가 함몰되거나 관절염이 진행된 환자에서는 효과가 떨어진다. 감압술의 세부적인 방법으로는 중심 감압술, 다발성 천공술 및 생체 골 이식술 등 여러가지가 있으며, 최근에는 자가 골수나 골수 유래 줄기세포의 주입을 통해 괴사부위의 골재생을 유도하려는 시도가 있다. 그러나 아직까지 이러한 감압술의 효과에 대해서는 객관적인 증거가 부족하다는 평가가 대부분이다.
세 번째 회전 절골술은 대퇴골두에 괴사된 부위가 국한적인 경우에 괴사된 부위를 체중부하 하지 않는 부위로 뼈를 잘라서 돌려주는 수술이다. 감압술과 비슷하게 초기에 진단을 받은 젊은 환자이거나 대퇴골두가 함몰됐더라도 크기가 작고 관절염이 진행되지 않은 환자에서 시도해 볼 수 있다.
감압술이나 절골술과 같은 수술을 시도하는 이유는 현재까지 고관절 인공관절 치환술이 영구적이지 않기 때문이다. 기술의 발달에 따라서 인공관절의 품질도 점차 좋아지고 있으나 아직까지는 20~25년 정도로 판단하고 있으며, 이후에 인공관절의 수명이 다하면 새로운 인공관절로 바꿔주는 수술을 다시 해줘야 한다는 단점이 있다.
마지막 고관절 인공관절 치환술은 괴사되고 염증이 생긴 관절을 제거하고 새로운 인공관절로 치환해주는 수술이다. 가장 결과가 확실하며 가장 많이 시행되는 치료 방법이며, 나이가 많은 환자에서는 일차적으로 시행해 볼 수 있다. 과거에는 인공관절로 금속이나 플라스틱을 많이 사용했으나 최근에는 비교적 내구성이 좋은 세라믹 인공관절을 많이 쓰고 있다.
대퇴골두 무혈성 괴사는 현재까지는 예방할 수 있는 방법은 없으며 원인인자에 노출되지 않도록 주의하는 것이 필요하다. 발생하게 되면 조기진단을 통해 적절한 치료를 하면 관절의 운동범위를 회복시키고 통증을 없앨 수 있다.
송은범기자
[건강 Tip] 대체 식품·패치·의약품 등 잘 알고 써야…
약을 써서라도… "올해는 담배 끊자"식약처, 세계금연의 날 맞아‘금연보조 의약품’ 사용법 안내
식품의약품안전처는 지난달 31일 '세계금연의 날'을 맞아 흡연자의 금연을 돕기 위해 금연보조 의약품의 올바른 사용방법과 주의사항 등을 안내했다
금연보조 의약품은 크게 니코틴 성분이 포함된 '일반의약품'과 부프로피온과 바레니클린 성분이 포함된 '전문의약품'으로 나눌 수 있다.
먼저 일반의약품에 해당하는 구강용해필름, 껌, 트로키(사탕)제는 입안의 점막을 통해 니코틴이 흡수되므로 삼키지 말고, 니코틴 흡수를 방해하는 커피나 주스, 청량음료 등과 함께 복용하지 않아야 한다.
니코틴 패치제는 니코틴의 체내 농도를 안정적으로 유지하도록 1일 1회 1매를 엉덩이, 팔 안쪽 등에 부착하고, 피부자극을 피하기 위해서 매일 부위를 바꿔서 부착해야 한다. 이러한 니코틴을 포함한 금연보조 의약품은 7주에서 12주 동안 사용하며, 치료기간 동안 단계적으로 복용량을 줄이는 것이 좋다.
특히 담배를 계속 피우거나, 니코틴이 들어있는 다른 의약품을 함께 복용하는 등 혈중 니코틴 농도가 높아지는 경우에는 심장질환, 고혈압, 두통, 구토, 두근거림 등의 부작용이 나타날 수 있으므로 각별히 주의해야 한다.
이어 전문의약품에 해당하는 부프로피온 제제는 목표 금연일 2주 전부터 최소 7주 동안 투여하는 것이다. 금연한 경우에는 약물을 지속해서 사용할 수 있으나, 7주 동안 투여했는데도 금연이 어려운 경우에는 이 제제의 투여중지를 검토해야 한다.
바레니클린 제제는 목표 금연일 1주전부터 서서히 용량을 늘려서 12주간 투여하는데, 이상반응에 따라 용량을 감량하는 등 조절할 수 있다. 흔한 이상반응은 불면증, 입마름, 오심, 비정상적인 꿈 등이며, 기분 변화(초조, 적개심, 우울증, 조증 등) 또는 드물지만 자살 생각 등이 나타나는 경우에는 즉시 복용을 중단하고 의사와 상의해야 한다.
식약처는 "흡연은 폐암 등 암 발생률과 뇌졸중 등 심혈관계질환에 의한 사망률을 높이지만, 금연을 하게 되면 질병의 위험과 암발생률이 크게 감소된다"며 금연을 당부했다.
송은범기자