제주 200명 넘게 확인돼 전국 ‘최다’가족 뇌졸중 있으면 위험 2배 이상↑제주대병원 카다실 등 희귀질환 대처효과적 치료법 전무… 정부·道 관심을
우리나라 사망 원인 4위를 차지하는 뇌졸중은 뇌에 혈액을 공급하는 혈관이 막히거나 터지면서 발생하는 뇌손상에 의한 질환이며 한 해 약 10만명의 새로운 환자가 발생한다. 뇌졸중은 일반적으로 나이가 들수록 위험도가 높아지며 여성 보다는 남성에서 흔하게 발생한다.
뇌졸중의 잘 알려진 위험요인으로는 고혈압, 당뇨, 고지혈증, 흡연, 심방세동 등이 있다. 하지만 뇌졸중은 드물게 이와 같은 위험요인이 없이도 발생하며 이런 경우 유전적인 요인은 매우 중요하게 작용한다.
최재철 제주대학교병원 임상의학연구소 소장(신경과 교수)이 2009년 제주대학교병원을 방문한 400명의 뇌경색환자들을 조사한 바에 따르면 가족 중에 뇌졸중이 있는 경우 뇌경색의 위험도는 가족력이 없는 경우와 비교해 무려 2.65배나 높은 것으로 밝혀졌다. 따라서 가족 중에 뇌졸중 환자가 있는 경우에는 현재 뇌졸중의 증상이 없더라도 향후 뇌졸중의 발생 위험이 높다는 사실을 염두에 둬야 한다.
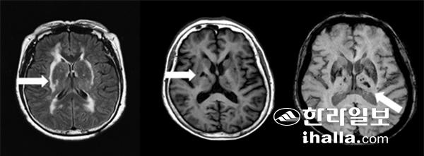
유전적인 원인으로 뇌졸중이 발생하는 대표적인 질환은 카다실(CADASIL)이라고 불리는 질환이며, 염색체 19번에 위치하는 노치3(NOTCH3) 유전자의 돌연변이로 인해 뇌의 작은 혈관에 손상이 발생하는 것이 특징이다. 카다실은 부모 중 한명이라도 질환이 있는 경우 자녀의 50%에서 질환이 발생하는 우성유전 양식을 보인다. 카다실의 주된 증상으로는 뇌졸중, 인지기능장애, 편두통, 정신과적 증상 등을 들 수 있다(그림 1).
뇌졸중은 카다실의 가장 흔하고도 중요한 증상으로 환자들의 2/3에서 관찰되며 일반적인 뇌졸중과 달리 40대부터 조기에 발생하고 재발이 흔하며 반복적인 뇌졸중으로 치매, 진행성 보행장애 등이 발생할 수 있다. 주로 작은 뇌동맥이 막혀서 발생하는 뇌경색이 흔하지만 일부 환자들은 뇌혈관의 파열에 의한 뇌출혈도 발생한다.
인지기능 장애는 카다실 환자에서 두 번째로 흔한 증상이며 처음에는 업무수행 능력의 감퇴, 언어기능약화 등의 전두엽기능저하로 시작된다. 유럽지역의 보고에 따르면 인지기능장애는 40대부터 시작돼 시간이 지남에 따라 서서히 악화, 전반적인 인지기능의 저하가 발생해 60대가 되면 상당수가 치매 상태로 진행한다고 알려져 있다. 또한 60대 중반부터 자립 보행이 힘들어져서 침상 생활을 하고, 남자는 60대 중반, 여자는 70대 초반에 사망한다고 알려져 있다.

카다실의 주된 증상으로는 뇌졸중, 인지기능장애, 편두통, 정신과적 증상 등을 들 수 있다.
다행스럽게도 제주지역의 환자들의 경우 외국의 보고 보다는 인지기능저하가 경미하고, 치매로 진단된 환자는 전체 환자의 약 20% 이내였다. 편두통은 카다실 환자에서 가장 빨리 나타나는 증상으로 주로 10대에 시작하는 반복적인 심한 두통을 보이며 환자들의 약 20~40%에서 발생한다. 제주지역의 카다실 환자에서도 두통은 약 50%에서 관찰이 됐으나 두통의 강도가 심한 편두통 보다는 긴장두통이 80% 이상으로 대부분을 차지했다.
카다실의 진단은 주로 혈액검사를 통한 유전자 분석으로 이뤄지고 검사 후에 결과를 확인하는데 수 주의 시간이 필요하다. 또한 뇌자기공명영상검사(MRI)를 시행하는 경우 뇌백질에 고신호강도의 병변을 통한 진단이 이뤄진다. 질환이 진행될 수록 백질 고신호강도 병변의 수와 범위가 늘어나고 열공성 뇌경색, 뇌미세출혈, 뇌위축 소견 등이 나타난다. 뇌자기공명영상 소견은 환자들의 예후를 예측하는 데도 중요한 역할을 한다. 하지만 카다실 환자를 뇌자기공명영상소견 만으로 일반적인 뇌졸중과 구분하는 것은 한계가 있다(그림 2).
카다실은 과거에는 매우 드문 것으로 알려져 있었으나 최근 연구에 의하면 대만, 중국, 한국을 포함하는 동아시아지역에서는 상대적으로 흔하게 발생하는 것으로 밝혀졌다. 제주대학교병원 신경과 의료진은 2000년대 초반부터 카다실 환자를 진단하기 시작했고, 현재까지 무려 200명이 넘는 환자들이 진단돼 한국에서 가장 많은 환자를 보유하고 있다. 최근 제주대학교 의과학연구소의 조사에 의하면 무려 한국인 6만~20만명이 카다실을 일으키는 돌연변이를 가지고 있는 것으로 추정했다.
카다실은 비교적 드문 질환으로 환자-보호자 뿐 만 아니라 의사들도 이 질환에 대한 지식이 제한적이고 임상 증상, 뇌영상소견만으로는 일반적인 뇌졸중과의 구별이 쉽지가 않아서 질환이 의심되는 경우 유전자 진단이 필수적이다.
제주대학교병원은 2021년 2월에 희귀질환거점센터로 새롭게 지정돼 희귀병 환자를 위한 특수클리닉, 희귀질환자를 위한 치료프로그램 개설 및 재활 치료 연계, 환자에 대한 통합지원 및 홍보, 지역네트워크 강화를 통한 신속한 진단, 지역 내 전문의료인력 양성을 위한 다양한 교육 프로그램 보급 등을 계획하고 있어서 카다실과 같은 희귀질환 환자에게 도움을 줄 수 있을 것으로 기대한다.
아쉽게도 현재 카다실에 효과적인 치료법은 개발돼 있지 않은 상태이고, 일반적인 뇌졸중 환자들에게 사용하는 치료법이 효과적인지도 현재까지 알 수 없는 상태다. 따라서 카다실을 조기에 정확하게 진단하는 것도 중요하지만 조기에 진단되는 경우 환자들에 대한 질환의 진행을 억제하거나 정상으로 되돌릴 수 있는 치료제 개발이 시급한 상태로 제주지역의 현안인 만큼 중앙정부 뿐만 아니라 제주도 차원의 적극적인 관심이 필요하다.
▶유전성 뇌졸중을 의심해야 하는 경우
1. 60대 이전에 뇌졸중이 발생한 경우
2. 고혈압, 당뇨, 흡연과 같은 위험요 인이 없이 뇌졸중이 발생한 경우
3. 부모, 형제, 자매에서 뇌졸중, 치매 의 가족력
4. 반복적인 두통 환자에서 뇌자기공명 영상에서 이상 소견을 보이는 경우
5. 뇌졸중과 함께 두통, 정신과적 증상(우울증, 불면증)을 보이는 경우
송은범기자
[건강 Tip] 짧은 기간 맛 볼 수 있는 '비파’ 열매
얼마 전 신랑이 어린 시절 친구들과 서리를 하다 동네 어르신에게 크게 혼나던 일이 생각난다며 추억 어린 이야기와 함께 맛있는 비파를 사왔다. 비파를 처음 본다던 중학생, 초등학생 딸들은 앉은 자리에서 반 바구니를 뚝딱 먹어 치웠다. 오늘은 새삼 세대 차이를 느끼게 했던 보기 드문 과일 비파에 대해 소개해 보려고 한다.
비파나무는 장미과에 속하는 상록활엽수로 원산지는 중국 남부다. 1200여 년 전 일본으로 전파된 후 일본에서 다양한 품종으로 개발돼 서양에서는 일본 과일로 여긴다고 한다.
우리나라에 도입된 지는 약 60년 정도이며 경남과 전남, 제주, 완도 등지에서 주로 재배된다. 열매와 잎의 생김새가 악기인 비파를 닮았다고 해서 비파(枇杷)라는 이름이 붙었다. 과일 나무로서는 드물게 가을철인 11~12월에 꽃이 피며 늦겨울이나 초봄까지 열매가 익는다. 시설 재배에서는 4월~5월말까지, 노지에서는 6월~7월 상순까지 생산 출하된다고 한다.
잘 익은 비파는 다른 과실에 비해 유기산 함량이 비교적 낮아 단맛이 강하다. 잘 개량된 품종일수록 과육이 많고 달콤한 편이라 식용으로 부담없이 섭취할 수 있지만 일반 품종은 과실로 먹기에는 맛이 부족할 수 있다. 또한 저장성이 약해 보관상으로도 비파주나, 잼, 젤리, 시럽 등으로 만들어 먹는 것이 더 편리하다.
비파는 100g당 열량이 42~47㎉ 정도이며, 불용성 식이섬유인 펙틴이 풍부하게 함유돼 있다. 펙틴은 장의 연동운동을 활발하게 해 배변을 원활하게 해주기 때문에 변비 증상을 해소하는데 좋다. 또 비파에 풍부하게 들어있는 항산화 물질 카테킨은 혈압과 콜레스테롤을 조절해 심혈관질환을 예방하는데 도움이 된다.
시력, 면역 기능 및 세포 성장에 필수적인 비타민A의 전구체인 베타-카로틴 역시 비파에 다량 함유돼 있는 영양소 중 하나다. 또한 비파열매에는 에너지 생산과 혈액 세포 형성에 중요한 엽산과 비타민 B6도 풍부하다.
비파 잎과 씨에는 아미그달린이라는 시안배당체 성분이 함유돼 있는데, 살구나 복숭아 등에도 있는 성분이다. 아미그달린은 그 자체로는 독성이 없지만 장내 효소에 의해 분해되면 흔히 청산가리라고 불리는 유독성 물질인 시안화수소로 바뀐다. 아미그달린 성분을 가공하지 않은 상태로 섭취하게 되면 위험할 수 있지만 설탕이나 알콜, 식초 등과 결합하면 화학적 변화를 일으키기 때문에 청산 중독증은 발생되지 않는다. 또한 보건환경연구원의 실험에 의하면 아미그달린이 함유된 열매의 청이나 담금주의 경우 1년 이상 숙성 시켰을 때 아미그달린 성분이 거의 분해됐다고 하니, 충분히 숙성 후 섭취할 것을 추천한다. <제주대학교병원 영양팀>