수술 전 다양한 보존적 치료 가능운동·약물·물리치료 등 성공률 95%귤 농사 많은 제주 팔꿈치 통증 다발

세계적인 테니스 선수 라파엘 나달
[한라일보] 지나친 운동이나 과도한 일을 한 후 발생하는 팔꿈치 통증은 주변에서 흔히 볼 수 있는 증상이다. 테니스 주관절은 주관절 주변 통증의 가장 흔한 원인 중 하나로 30~50세에 주로 발생하며 남녀의 비율은 거의 비슷한 것으로 알려져 있다. 일의 강도가 센 직업군에서 발생 빈도가 높으나 가사노동을 하는 주부들에게서도 흔히 찾아볼 수 있다고 한다. 이번 제주인의 건강보고서에서는 제주대학교병원 정형외과 김경민 교수의 자문을 받아 테니스 주관절에 대해 자세히 알아본다.

김경민 제주대병원 정형외과 교수
테니스 주관절은 수근관절 신전근의 외상과(lateral epicondyle) 기시부에서 발생되는 건증(tendinosis)으로 외측 상과염(lateral epicondylitis)이라고 불린다. 주된 병변은 단요측수근 신건(extensor carpi radialis brevis, ECRB)으로 알려져 있다. 외상과염 통증의 원인에 대해서는 아직까지 논란이 되고 있으나 최근에는 근육에 부하가 많이 걸리는 상황에서 건에 미세파열이 일어나고 이에 대한 치유 과정에서 반복적인 부하에 계속 노출됨으로써 불완전한 치유가 일어나 건증이 발생한다고 여겨지고 있다.
▶임상 소견=환자의 대부분은 주관절 외측의 통증을 호소하고 전완부 외측으로 퍼지는 양상을 보인다. 통증은 주먹을 강하게 쥐거나 손목을 능동적으로 신전시키는 동작에서 악화된다.
대부분 관절 운동 범위는 거의 정상이다. 감각 소실은 일반적으로 관찰되지 않으며, 통증으로 인해 손목 관절과 손가락 관절의 신전력 감소가 관찰되기도 한다. 신체검진 상 환자가 주먹을 쥔 상태로 전완부를 회내전 시킨 상태에서 손목에 저항을 주면서 신전시킬 때 외상과에 통증이 유발되는 것으로 확인할 수도 있다.
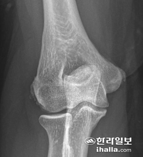
▶검사 소견=단순 방사선검사는 대부분 정상이나 유리체, 관절염, 박리성 골연골염 등과 감별하는데 도움이 될 수 있다.

주관절 방사선 사진. 외측 및 내측 상과에 석화화 병변(calcification)이 보인다.
경우에 따라 외상과 부위에 석회화가 관찰되기도 한다. 초음파 또는 자기공명영상(MRI)은 총신전건의 비후, 건실질 내 파열, 퇴행성 변화 및 석회화 등을 확인할 수 있다. 자기공명영상(MRI)을 통해 동반된 관절 내 병변 등을 추가적으로 확인할 수 있으나 증상의 중동도와는 관련성이 크게 없으며, 수술의 예후를 판단하는데도 제한적이다.
▶치료=외상과염의 치료는 다양하게 시도돼 왔으나 아직 정립된 것은 없다. 크게 보존적 치료와 수술적 치료로 나눌 수 있으며, 이는 염증 반응을 감소시키고, 한 부위에 집중되는 과도한 부하를 분산시켜줌으로써 건증이 발생한 인대를 재생시키는데 그 치료의 목적이 있다.
보존적 치료는 약 95%의 치료 성공률을 보이며 휴식, 운동 치료, 물리치료, 약물 치료, 보조기 착용, 그리고 주사요법 등이 포함된다.

제주대학교병원이 보유하고 있는 체외충격파(Extracorporeal ShockWave Therapy, ESWT) 장비.
운동 치료는 단수근신근과 총수지신전근의 길이를 신전시키는 스트레칭 운동이 효과적이다. 물리치료는 표재열과 심부열을 이용하는 방법 이외에도 펄스 초음파를 이용한 치료가 있으며, 증상 발현 6주 이내의 급성기에 휴식과 도수 치료를 비롯한 물리치료를 같이 시행하는 경우 증상 호전을 보이는 경우가 많다.
최근에는 체외충격파(Extracorporeal ShockWave Therapy, ESWT) 치료가 다양한 영역의 정형외과 질환에서 시도되고 있다. 2000년 미국 식약청(FDA)에서 만성 족저근막염의 치료 수단으로써 체외충격파를 승인했고, 최근에는 테니스 주관절에서도 많이 연구되며 사용되고 있다.

(A) 과다한 스테로이드 주사 사용으로 힘줄 기시부가 녹아있는 사진. (B) 염증이 있는 조직들을 제거한 상태.
보조기 요법으로 많이 쓰이는 대항력 보조기나 팔꿈치 파워 스트랩(elbow power strap)은 전완부 신전근의 긴장의 정도를 줄여줌으로써 작용하게 된다. 이는 최대 압통 부위를 압박하는 것이 아니라 주관절로부터 약 2.5㎝ 아래가 압박되도록 착용하는 것이 원칙이다. 이외에도 손목 신전 부목 고정도 사용될 수 있으며, 이러한 보조기 요법은 통증 완화와 악력 회복에 도움이 될 수 있다.
이러한 보존적 치료에도 반응이 없는 경우 주사요법을 사용할 수 있다. 스테로이드 국소 주사는 초기 염증과 통증을 감소시킬 목적으로 사용될 수 있고 단기적으로 효과가 있으나 6주가 지나면 치료 효과가 낮거나 재발률이 올라간다고 보고되고 있다. 이외에도 botulinum toxin 주사 및 platelet-rich plasma(PRP), Prolo주사(Prolotheraphy) 등 다양한 치료방법들과 그 결과들이 보고되고 있다.
수술적 치료는 보존적 치료를 약 6~12개월 시행해도 증상이 호전되지 않을 경우에 시행한다. 개방적 수술은 총신전건 기시부의 육아조직 제거에 초점이 맞춰져 있다. 관절경적 수술은 최소 침습적인 점과 관절 내 병변의 진단·처치가 가능한 이점이 있으며, 관절경을 이용해 활액막을 절제하고, 이환된 건 기시부를 절제하는 방법이 사용된다.
일시적인 팔꿈치 통증은 간과하기 쉽다. 특히 제주도에서는 귤농사를 하며 전정가위를 사용하는 사람들이 많고 그에 따른 팔꿈치 통증의 빈도가 높다고 한다. 일을 할 때는 충분히 휴식을 하는 것이 중요하며 팔꿈치 통증이 지속될 경우 초기에 병원을 방문해 적절한 치료를 받으면 만성적인 통증으로 발전하지 않고 효과적으로 치료를 할 수 있다. 김도영기자
<제주대학교병원·한라일보 공동기획>
[건강 Tip] 건강한 식생활로 엔데믹에 더 가까이영양성분 확인, 과일·채소 충분히
코로나19와 함께한 일상도 어느새 3년이 돼 가고 있는데 코로나19 팬데믹은 우리 생활 습관과 식생활 및 건강상태에도 많은 영향을 줬다. 청소년들은 식사 습관이 불규칙해졌고 비타민, 무기질의 공급원인 과일, 채소 섭취가 줄어들었다. 달고 짠 가공식품 선택으로 당류와 나트륨을 과잉 섭취하면서 비만이 증가해 건강한 성장이 방해받고 있다. 성인들은 신체 활동이 줄어들고 혼자 식사하는 비율이 늘었으며 그 결과 에너지 섭취 과잉 및 편중된 영양소 섭취로 인해 비만, 고혈압, 고콜레스테롤혈증 등 만성질환이 악화됐다. 노인은 경제문제 및 신체활동 저하 등으로 적절한 영양섭취 및 건강 상태 유지의 어려움을 겪고 있다. 이렇듯 영양과잉과 결핍이라는 양극화 속에서 만성질환의 예방 관리와 건강수명을 연장시키기 위해서는 어떻게 해야 할까?
올해는 '건강한 식생활로, 엔데믹에 더 가까이!'라는 주제로 영양의 날 기념식과 세미나 및 대국민 홍보 캠페인이 진행됐다. 엔데믹에 한 걸음 더 다가갈 수 있는 식생활 실천 사항에는 어떤 것이 있는지 살펴보자. 넘쳐나는 식품 속에서 건강한 식품을 선택하기 위해서는 영양성분을 확인하는 것이 필요하다. 영양성분표는 식품의 총 내용량 혹은 1회 제공량 당 영양성분 함량과 1일 영양성분 기준치에 대한 비율을 제시하고 있다. 따라서 식품 구입 시에는 이를 확인해 나트륨과 당류, 지방(포화지방)의 섭취량이 1일 기준치의 100%를 넘지 않도록 주의해야 한다. 또한, 신선한 과일과 채소를 충분히 섭취하도록 노력해야 한다. 과일과 채소에는 비타민과 무기질, 식이섬유, 항산화물질이 풍부하게 함유돼 있어 만성질환 예방과 면역력 유지에 도움을 준다.
지난 10월 14일은 영양의 날이었다. 올해 영양의 날은 이미 지났지만 나와 가족의 건강한 삶을 기원하는 마음으로 건강 식생활을 체크해 보도록 하자. 평소 올바르고 균형 잡힌 식생활을 유지해 도민 모두가 건강한 삶을 유지하고, 건강한 미래를 맞이할 수 있길 바란다. <제주대학교병원 영양팀>