[휴플러스] [휴플러스] 혹독한 겨울 이겨낸 봄꽃이 전해주는 위로와 희망

[한라일보] 봄을 시샘하며 생떼를 부렸던 꽃샘추위가 물러나고 완연한 봄이 왔다. 시간은 언제나 그렇듯 소리 소문 없이 우리의 빈자리를 비집고 들어온다. 봄을 대표하는 꽃들은 제주도를 상징하…

[책세상] [새로 나온 책] 한국인의 눈부신 철학 外

[한라일보] ▶한국인의 눈부신 철학(손석춘 지음)=이 책은 '단군신화', '처용설화', '해와 달이 된 오누이', '효자 호랑이', '호랑이 눈썹', '아기장수'와 같은 신화와 설화들을 통해 한국인의 철학에 …

[책세상] [이 책] 읽기 어려운 고전… 교훈 보단 즐거움 찾기

[한라일보] 서양 최초의 문학작품인 호메로스의 '일리아스'는 트로이아 전쟁을 배경으로 쓰인 대서사시다. 이 작품은 '아킬레우스의 분노'를 노래한다. 신과 인간 사이에서 태어난 아킬레우스는 신…

[책세상] [책세상] 4·3 지식인·공직자의 기억… 옛 오일장의 추억

[한라일보] 제주 역사와 문화를 다룬 책들이 잇따라 나왔다. 4·3 당시 지식인과 공직자의 기억을 담아내고 제주도내 오일장의 옛 추억을 더듬는다. ㅣ4·3연구소 4·3생활사 총서 제주4·3연구소는…

[오피니언] [변순자의 현장시선] 소비자의 권리와 선택권의 보호

[한라일보] 주말 아침 느긋하게 TV를 본다. 채널을 돌려봐도 모두 건강과 관련된 프로를 내보내고 있다. 안심할 수 없는 치매, 당뇨, 허리, 무릎 등 노인성 질환들은 그냥 넘길 수 없다. 혹시나 하는 …

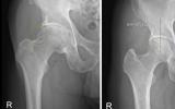
[제주건강보고서] [제주, 제주인의 건강보고서 Ⅷ 건강다이어리] (143)대퇴비구 충돌증후군(FAI)

뼈끼리 부딪쳐 관절 손상 유발신체·영상 등 정확한 진단 필수스트레칭·저강도 운동 등 도움 [한라일보] 현대인의 반복되는 좌식 생활과 운동 패턴의 변화로 인해 고관절 문제를 겪는 사례가 증가…

[사설] [사설] 환경영향평가 절차, 제주도 요구 정당하다

[한라일보] 제주 제2공항 건설의 최대 쟁점인 환경영향평가 절차를 둘러싸고 잡음이 일고 있다. 본격적인 환경영향평가에 앞서 구성해야 할 환경영향평가협의회를 놓고 제주도와 국토교통부가 이…

[사설] [사설] 버스 이용 불편 사라지면 만족도 높아진다

[한라일보] 지난 한 해 동안 제주 (노선)버스 이용객의 불편 신고가 크게 줄어들었다. 불편사항에 대한 사후 조치는 물론 종사자와 업체들이 개선하려는 노력이 보태졌기 때문이다. 불편 사례가 감…

[오피니언] [열린마당] 마음의 작은 촛불 하나, 양심!

[한라일보] 지난 시절 일상에서 많이 하던 말 중 하나가 '양심이 있고 없고'를 따지는 일이었다. '양심에 털 났다', '양심을 팔아먹었다'라는 타박은 옳고 그름을 따지는 모든 상황에서 이뤄졌고, 부…

[사람과사람] 제주출신 세자매 '일흔 그림 여정'

[한라일보] 제주도 출신의 세 자매가 서울에서 합동 전시회를 개최한다. 제주시 한림읍 출신 양정숙·양금숙·양영심 세 자매는 최근 서울 소공동갤러리에서 취미로 삼아오던 그림을 한데 모아 '일…

[사람과사람] 오영훈 지사 한라대 학생회 초청 특강

[한라일보] 오영훈 제주도지사는 제주한라대학교 학생회 초청으로 20일 제주한라대에서 재학생과 교직원 등 500여 명이 참석한 가운데 '청년의 꿈과 미래를 실현하는 제주'를 주제로 특별 강연을 했…

[사람과사람] 도상하수도본부 '청정 쓰담달리기' 운영

[한라일보] 제주특별자치도 상하수도본부(본부장 좌재봉)는 지난 19일 제주하수처리장에서 도내 하수처리시설의 청정 환경 조성과 지역 사회 상생을 위한 '청정 쓰담달리기(플로깅)' 캠페인을 시작…

[사람과사람] 킹 뮤직타운 초록우산 나눔릴레이 동참

[한라일보] 제주시 연동 소재 킹 뮤직타운(대표 강동환)은 지난 17일 초록우산 제주후원회(회장 조은덕)와 초록우산 제주지역본부(본부장 김희석)가 진행하는 나눔릴레이 캠페인에 동참했다. 이…

[사람과사람] 안전나눔봉사회 등 재능기부 봉사활동

[한라일보] 안전나눔봉사회(회장 양영석)와 한국소방시설협회 제주도회(회장 고영준)는 최근 제주시 한경면 저지리경로당(노인회장 김용하)에서 안전에 취약한 어르신들을 대상으로 재능기부 등 …

[서귀포시] 서귀포시, 학교로 찾아가는 자기주도학습 교실

[한라일보] 서귀포시는 올해 초·중·고등학교 37개교 학생 6490명을 대상으로 자기주도학습 역량 강화를 위한 '학교로 찾아가는 자기주도학습 교실'을 4월부터 10월까지 운영한다. 자기주도학습 교…